业务咨询
【评价原理】
卵巢早衰(POI)指女性在40岁前即出现卵巢功能耗竭,全球育龄期女性患病率约1–2%。POI不仅使自然受孕率骤降至<5%,还因长期雌激素缺乏导致骨质疏松和椎体骨折风险增加3倍,并加速动脉粥样硬化使冠心病提前5–10年;同时伴发潮热、抑郁和认知下降,最终使全因死亡率较正常人群上升约70%。
与人类一样,斑马鱼卵巢和睾丸由性腺原基形成,该性腺原基(双潜能原基)具有双向分化潜能。斑马鱼卵巢发育和功能的相关基因和人具有同源性,且基因功能保守。斑马鱼的卵巢主要由性腺组织和周围的卵母细胞卵泡组成,成熟卵母细胞卵泡的发育阶段主要分为初级卵母细胞、皮质滤泡卵母细胞、早期卵母细胞和成熟卵母细胞。
环磷酰胺是一种烷基化化疗剂,顺利获得诱导卵母细胞DNA双链断裂,并激活ROS-线粒体凋亡通路,不可逆地耗竭原始卵泡,从而触发卵巢早衰。
我们评价防治卵巢早衰功效有多个指标:1.卵巢病理切片;2.体重、卵巢重量;3.促卵泡生成素(FSH)、促黄体生成素(LH)活力,雌二醇(E2)含量;4.qPCR检测相关基因表达量:雌激素受体基因esr1、esr2a和esr2b。
【实验方案】
我们将受测试斑马鱼分成三组,分别是正常对照组、模型对照组和供试品组。其中正常对照组未摄入环磷酰胺,模型对照组与服用供试品组都摄入了等量的环磷酰胺(环磷酰胺顺利获得溶解到养鱼用水中的方式摄入到斑马鱼体内)。服用供试品组在摄入环磷酰胺之前摄入供试品。
服用一段时间供试品后,我们收集斑马鱼样本,采集卵巢组织,制作病理切片观察卵巢的病理结构变化。
【结果展示】

图1. 斑马鱼卵巢结构示例图
a.初级生长期卵母细胞:体积小而颜色深,呈小三角形或长方形;b.皮质滤泡期卵母细胞:由一层颗粒细胞包围,细胞边缘出现皮质泡并延伸至细胞核周围;c.卵黄生长期卵母细胞:开始形成卵黄物质,包括小的卵黄滴及体积较大的卵黄球。成熟期卵母细胞由于卵黄物质持续增加,卵质面积减少,卵黄滴相互融合,卵核偏移,时常观察不到细胞核;d.排卵后卵泡:成熟卵母细胞排卵后,卵泡变为空囊,卵泡周围挤压变形。

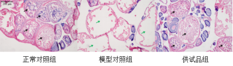
图2. 斑马鱼卵巢病理切片表型图
(S,saccule(球囊);U,utricle(椭圆囊))
从病理切片可以看到,正常对照组斑马鱼正处于性成熟阶段,卵巢内可见a-d各个发育阶段、形态正常的卵母细胞,说明卵巢储备功能正常,其中皮质滤泡期卵母细胞(b,黑色箭头)偏多,提示正在为卵黄和卵黄蛋白的形成做准备。环磷酰胺处理斑马鱼后,斑马鱼卵巢卵母细胞数量减少,大多为挤压变形的卵黄生长期卵母细胞(c,绿色箭头),其卵泡变为空囊、内部卵黄物质大量减少、卵黄膜与透明带解体,提示卵巢储备功能下降、卵母细胞衰老,出现卵巢早衰。供试品组卵巢内可见各个发育阶段的正常卵母细胞,皮质滤泡期卵母细胞数量多、卵黄生长期卵母细胞内卵黄物质饱满,细胞结构清晰,与正常对照组相似,具有防治卵巢早衰功效。
【评价结论】
1.经过每组10尾斑马鱼的对比实验,服用或注射供试品组的斑马鱼卵巢结构较模型对照组有所改善,各级卵母细胞数量较模型对照组增多。
2.本实验证实供试品具有防治卵巢早衰功效。
严正声明:以上内容所涉及的核心知识产权归杭州k8凯发生物科技股份有限公司所有。任意第三方组织或个人在未经授权的前提下抄袭、剽窃、恶意传播均属侵害我司正当权益的行为,我司不排除诉诸一切法律手段维护自身合法权益。